Adresse
3 boulevard des Capelles 31830 Plaisance du Touch
Tél : 05.61.07.37.97
Mail : veterinairelabbe@gmail.com
Adresse
3 boulevard des Capelles 31830 Plaisance du Touch
Tél : 05.61.07.37.97
Mail : veterinairelabbe@gmail.com

La segmentation et l’impression 3D au service de la chirurgie osseuse vétérinaire À la Clinique…

Techniques chirurgicales mini-invasives en orthopédie vétérinaire : l’approche “Open But Not Touch” Dans le domaine…

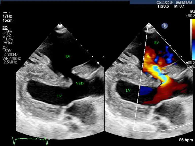
Voici un article destiné à ton blog vétérinaire sur les communications interventriculaires (CIV) chez le…